B超、X线、CT、MRI、PET-CT别傻傻分不清楚!

  又是年底,很多朋友都可能会选择年底做个健康体检,但是对于自己体检的项目,不知道该如何选择,下面就来分析分析常见辅助检查方法的区别吧。

B超

用超声波探测人体


目前各大医院都是“彩超”,可提供血流动力学的信息。


建议检查:体表肿块、乳腺、甲状腺、肝脏胰腺等肿瘤。


特长:观察心脏、甲状腺、乳腺、腹部等实质性脏器、盆腔器官、胎儿。


注意事项


【空腹】

上腹空腹,禁食6-8个小时。


【前三天禁豆制品、牛奶】

这些食物产气,影响检查。


【憋尿】

如果要检查泌尿系统及盆腔,检查前要多喝水、憋尿,使膀胱充盈,便于检查。

这是肿块的B超检查



X线

给检查部位拍“正面照”


包括CR、DR、乳腺X线检查、数字化胃肠影像等检查。


建议检查X线检查适用范围很广,目前主要用于

1、胸部X线检查:

主要用于肺炎行实变、纤维化、钙化、肿块、肺不张肺间质病变肺气肿、空洞、支气管炎症及扩张、胸腔积液气胸胸膜肥厚粘连、纵膈肿瘤、心脏、血管性态、乳房肿块诊断。

2、腹部X线检查

腹部X线检查:主要有腹平片、消化道造影胆囊造影。适用于食道静脉曲张,食道裂孔疝,消化道炎症、溃疡、肿瘤、息肉、结核、肠梗阻、胆囊炎症、结石、胆道蛔虫病的诊断。

3、骨、关节X线检查

骨、关节X线检查:主要用于骨折,炎症性和退行性骨、关节病、化脓性骨髓炎,骨、关节肿瘤、结核,脊椎形态改变的诊断。

4、泌尿系统X线检查

泌尿系统X线检查:主要用于泌尿系统结石肾癌肾盂扩张、积水等检查。

鼻窦X线检查

鼻窦X线检查:主要用于慢性鼻窦炎,鼻窦肿瘤的诊断。



特长:用于肺部疾病的基础诊断,比如肺炎,肺癌,支气管扩张等。在骨骼类诊断,比如骨折和各种骨类肿瘤,具有很大优势。另外对检查肠梗阻和大部分的肾结石也有很大的帮助。


尤其,乳腺X线检查(钼靶检查),对仅表现为微小钙化的乳腺癌显示要优于其他检查方法,目前用作40岁以上妇女乳腺癌筛查。



注意:去除检查部位周围的金属或者玉石等物品,避免伪影影响诊断。


这是小孩子胫骨骨折的X线检查片子

这是胸片正常的情况。



CT

用X线给身体每个横截面“拍照”


建议检查、肌肉内细小病变,结构复杂的骨、关节以及X线可疑病变,肺、腹部、盆腔等肿瘤。


特长:成像比X线更清晰;对高密度的骨性组织和出血、肿瘤的钙化病变的检出,具有独特优势。低剂量的螺旋CT是对肺癌筛查的有效手段。


注意事项


【身上**不要带东西】

去除检查部位周围的金属或者玉石等物品,避免伪影影响诊断。


【大部分需要空腹】

除腹部和盆腔平扫以外,大部分平扫CT无需空腹,涉及到增强扫描则需空腹。检查需要时,请配合医生服用碘对比剂。


【过敏情况】

对造影剂或其他过敏记得告诉医生。


【带上之前检查的结果】

比如B超、X线、CT、MRI等。

这是腰椎CT正常情况


这张是腰椎骨折的CT二维重建

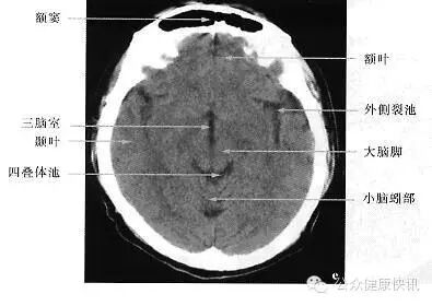
这是头颅CT正常情况。






MRI

磁共振成像


建议检查骨与关节病变、肝癌、胰腺、脑部等肿瘤。


MRI把人体置于强磁场中,通过射频脉冲激发人体内氢质子,发生核磁共振,成像方式更加多样,成像原理更加复杂,所得到信息也更加丰富。


特长:对软组织的分辨率更高,清楚显示颅脑、关节、脊髓、心脏、大血管及肌肉组织。


注意事项


【严禁金属】

比如手机、皮带扣、假牙、节育环、起搏器。


【不要乱动】

MRI检查时间较长,期间尽量不要乱动,保持呼吸平稳、避免咳嗽。


【其他参照CT】

过敏告知医生、带上之前检查结果。

这是颈椎磁共振

这是腰椎磁共振

这是膝关节磁共振








PET-CT

正电子发射计算机断层显像



建议检查:全身及转移性实体肿瘤。


PET检查(发现代谢异常细胞)+CT检查(发现形态异常组织),先注射放射性药物,再行CT扫描。


特长:癌症病人的诊断、鉴别诊断、疗效评估、临床分期。

注意事项


【禁食、禁糖6小时以上】

血糖会影响检查,糖尿病人应先用药使血糖降至正常。


【检查后多喝水】

该检查辐射量较大,喝水可促进辐射物排出,当天避免接触孕妇小孩。


PET-CT检查目前在基层医院普遍没有开展。

肝癌的PET-CT检查结果



免责声明:本平台出于公益服务需要,部分图文转载自网络。如涉及版权问题,请立即联系我们删除。


分享 :
评论(0)